علائم فرسایش مینای دندان چیست ؟
امروز در این مقاله درباره علائم و نشانه های فرسایش مینای دندان با شما صحبت خواهیم اما قبل از اینکه بدانیم علائم فرسایش مینای دندان چیست بهتر است که بدانید که مینای دندان چیست در ادامه با ما همراه باشید .
-
مینای دندان چیست ؟

دندان های انسان از 4 بافت متفاوت تشکیل شده است که به سخت ترین لایه آن بافت مینای دندان می گویند این لایه از دندان فاقد سلولو زنده می باشد و تقریبا 95 تا 98 درصد از آن را مواد معدنی مانند : کلسیم و فسفات که در قالب ساختار های کریستالی بنام هیدروکسی آپاتدیت قرار گرفته است .
-
علل فرسایش مینای دندان
عوامل زیادی می تواند باعث تخریب بافت مینای دندان شوند که مهم ترین آن ها عبارتند از :
مصرف نوشابه های گاز دار
مصرف زیاد آب میوه ها
رژیم غذایی سرشار از قند و شکر و نشاسته
خشکی دهان
داشتن مشکلات گوارشی
مصرف برخی از دارو ها مثل آنتی هیستامین ها و آسپرین ها
عوامل محیطی مانند : فشار ، ساییدگی ضربه دیدگی و.. می تواند بر روی بافت مینای دندان تاثیر بگذارد .
-
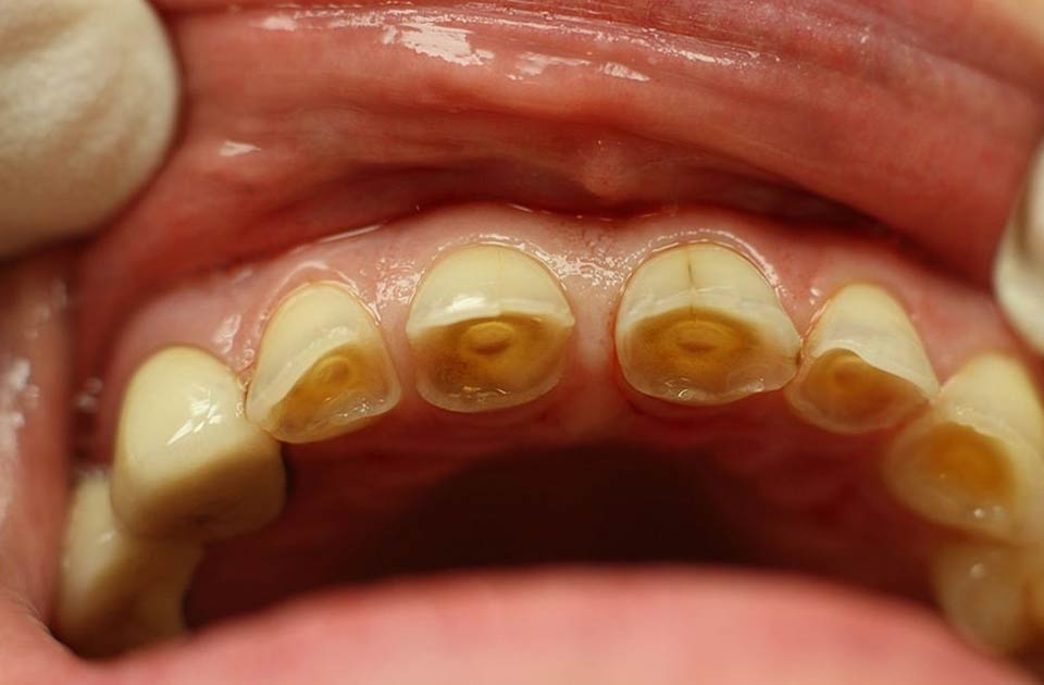
علائم فرسایش مینای دندان
فرسایش مینای دندان می تواند بسته به مراحل آن متفاوت باشد برخی از علائم نیز ممکن است شامل موارد زیر باشد :
حساسیت دندان ها : زمانی که در مراحل اولیه فرسایش باشید مصرف یک سری غذا های بسیار شیرین و یا سرد ، گرم می تواند باعث تحریک دندان و ایجاد درد در آن شود .
تغییر رنگ : هنگامی که مینای دندان دچار تخریب شده باشد ، عاج دندان به رنگ زرد در حفره ی دهان نمایان می شود
تغییر شکل دندان : فرسایش مینای دندان می تواند باعث ایجاد تغییر شکل ظاهری مانند : به وجود آمدن لبه های نامنظم و یا سطوح ناهمگون در سطح دندان شود .
ایجاد حفره و گودال در سطح دندان
چطور می توان از فرسایش دندان پیشگیری کرد ؟

هر انسان برای حفظ سلامت مینای دندان و جلوگیری از تخریب آن باید حتما به صورت روزانه مسواک بزند و از نخ دندان و دهانشویه هایی که حاوی فلوراید هستند استفاده کند .
بهتر است که هر 6 ماه یکبار برای چکاپ کامل به یک کلینیک دندانپزشکی مراجعه کنید .
از خوردن غذاها و نوشیدنی هایی که مقادیر زیادی کربوهیدرات و اسید دارند مانند : نوشابه های گاز دار بپرهیزید و در صورت مصرف حتما بلافاصله مسواک بزنید .
از خوردن میان وعده هایی که حاوی کربوهیدرات زیاد هستند بپرهیزید و یا بعد از خوردن بهتر است که از دهانشویه و مسواک استفاده کنید .
اگر حجم بزاق شما کم است ، در طول روز مقدار زیادی آب بنوشید .
از خمیر دندان های حاوی فلوراید استفاده کنید .
به صورت مداوم از خمیر دندان هایی که ذغال سنگ فعال دارند استفاده نکنید .
درمان شکسته شدن مینای دندان
در برخی از اوقات ممکن است که تنها بخش کوچکی از مینای دندان لب پر شده باشد که در این باره دندانپزشک باید با مواد پر کننده دندان آن را پر کند اگر دندانی که لب پر یا شکسته شده است در دندان های جلویی باشد احتمالا باید برای ترمیم آن از کامپوزیت ونیر استفاده کرد . در این روش ماده ای به نام رزین کامپوزیت برای پر کردن دندان استفاده می شود .
این درمان نیازی به بی حسی دندان ندارد ابتدا باید دندان را آماده کنید تا پیوند خوبی بین دندان و مواد پر کننده برقرار شود .
برای این منظور سطح مورد نظر با استفاده از ژل خاصی زبر می شود و بعد مواد چسبنده ای همرنگ دندان برروی دندان کشیده می شود و در نهایت دندان را شکل دندان های طبیعی می کند .
ممکن است گاهی اوقات ترک خوردگی به قدری بزرگ باشد که بخش هسته دندان که پالپ نام دارد را درگیر کرده باشد تنها لمینت یا روکش کفایت نمی کند . پالپ دندان حاوی عصب ها و رگ های خونی است و در صورتی که شکستگی به آن برسد باکتری ها وارد آن شده و عفونت ایجاد می شود در چنین شرایطی بافت های داخل پالپ می میرند و اگر تخلیه نشوند عفونت گسترش می یابد و مجبور می شوید که دندانتان را بکشید .
یکی دیگر از علائم فرسایش مینای دندان حساسیت زیاد هنگام خوردن غذا و نوشیدنی سرد ، گرم اسیدی و ادویه دار می باشد .
سخن پایانی
جهت اینکه فرسایش مینای دندان شما بیشتر و بد تر نشود باید رعایت بهداشت دهان و دندان را بیشتر و به آن اهمیت دهید .
کلینیک دندانپزشکی شبانه روزی آرتین به عنوان یکی از بهترین کلینیک های دندانپزشکی در کرج ( هفت تیر ) شناخته می شود .
این کلینیک تخصصی دندانپزشکی ( آرتین ) با استفاده از بهترین متریال ها و پیشرفته ترین تجهیزات روز دنیا آماده ارائه خدمات به همشهریان عزیز در کرج می باشد .
جهت دریافت مشاوره و نوبت دهی می توانید از طریق شماره های زیر نوبت خود را ثبت کنید .
02632211497
02632211496
کلمات کلیدی : مینای دندان _ دندانپزشکی شبانه روزی _ دندانپزشکی کرج _ دندانپزشکی خوب در کرج _ کلینیک دندانپزشکی _ پوسیدگی دندان _ کرج _پالپ _دندان پزشکی _
مقاله های بیشتر
آیا بعد از ایمپلنت می توان ارتودنسی کرد ؟
انواع ایمپلنت های کره ای در سال جدید
ویژگی های متخصص ارتودنسی خوب در کرج چیست ؟

0 نظر